-
業種・地域から探す
続きの記事
茨城県産業 明日への挑戦
茨城県内国立大学の取り組み
産学連携の深化が、茨城の大学から新たな局面に入っている。筑波大学は企業常駐型の研究拠点を整備し、事業課題を起点とした共同研究を本格化させる。茨城大学ではコアシェル型ナノ粒子など、医療・環境・農業に広がる先端材料研究が実用化段階へ歩みを進める。研究成果を社会につなげる仕組みづくりが両大学で進む。地域の課題解決と産業創出を狙う動きが加速する。
筑波大学/企業常駐型研究拠点を整備 共同研究加速
-
整備を進める新拠点のITF.F
筑波大学が整備する新拠点「IMAGINE THE FUTURE. Forum(ITF.F)」は、企業主導で研究開発を進める共同研究拠点として準備が進む。3棟で構成し、企業研究者が大学構内に常駐し、事業課題を起点にした研究を展開する。化学・バイオ向けのウェットラボからAI(人工知能)・ソフトウエア向けのドライラボまで備え、多様な領域に対応する。
つくば駅に近く「スーパーシティ構想」など周辺の実証フィールドを活用できる点が強みだ。中央には交流スペースを設け、企業・大学・学生の接点づくりを図る。区画は最小80平方メートル単位で企業の要望に応じた広さを貸し出し、既に20社ほどが関心を示している。大学は企業の研究開発拠点として入居する企業を募る。
企業にとっては、大学の研究資源や学生との接点を得られるほか、新規事業開発の拠点としても活用できる。つくば全体のスタートアップ支援とも連動し、地域のイノベーション形成を後押しする役割が期待できる。
外部資金獲得に多様な入り口用意
筑波大学のクラウドファンディングは、研究や学生プロジェクトの資金源として定着してきた。2016年頃から外部事業者と連携して開始し、約40件で累計2億7000万円を集めた。研究者からの相談を受け、担当部署がストーリー構築を支援する仕組みだ。
-
大学のPRを加速するオリジナルグッズ
テーマはギター音色研究、小児がん研究、箱根駅伝関連、衛星プロジェクト、アカハライモリの再生医療など幅広い。研究の背景を丁寧に伝えることで共感を得やすく、返礼品としてコンサート招待やオリジナルグッズなどを用意する。アカハライモリの研究ではテレビ放送も追い風となり、患者らの寄付が集まった。
一方、クラウドファンディング(CF)は用途を特定する性質があり、大学としては運用益を学生・研究支援に回すエンダウメント型寄付との両立が課題となる。両輪で資金基盤の強化を図る。
筑波大学が進める命名権の付与事業も、企業との連携拡大や財源確保の手段として広がる。6月に第二エリア食堂ではソフトウエア開発をするSky(東京都港区)が命名権を取得した。大学は収入を学生支援や設備整備に充てる。工学系食堂や図書館前プロムナード、自転車デッキなどでも導入を検討する。広告が少ないキャンパスは“余白”が多く、企業ロゴが目立つ点が評価されている。
案件ごとに金額を調整するオーダーメイド方式を採る。複数年で数千万円規模が中心で、象徴性の高い施設では億単位も視野に入る。採用難のなか、学生との自然な接点を求める企業ニーズは高く、今後の拡大を見込む。
副学長(資産運用担当) 野手 弘一 氏/社会連携で価値を共創 民・地域と一体で前進
-
筑波大学 副学長(資産運用担当) 野手 弘一 氏
—筑波大学が社会連携を強化する理由は。
「大学の研究成果を“外へ開き、社会の変化を一緒につくる”ことが使命と考える。ITF.Fのように企業が課題を持ち込んで共同研究を行う枠組み、クラウドファンディングによる市民参加型の研究支援、命名権の付与による企業との接点づくり。いずれも大学単体では生まれない価値を社会と共創するための仕組みだ」
—資金面での狙いは。
「外部資金を単に集めるのではなく、大学の挑戦を持続可能にする“循環”をつくることが大切と考える。寄付や協賛の拡大、収益事業の強化に加え、大学ブランドを高めるオリジナルグッズの開発など、多様な入り口を用意している」
—社会連携の今後は。
「民を巻き込み、研究・教育・地域が一体で前に進むモデルをつくりたい。つくばから新しい大学の姿を示したいと考えている」
茨城大学/ナノ材料のポテンシャル広げる/医療・環境・農業など幅広い応用期待
-
コアシェル型ナノ粒子
医療、環境、農業など幅広い分野での応用が見込める高機能・高品質なナノ材料への注目がますます高まっている。茨城大学の小林芳男教授が開発してきたコアシェル型ナノ粒子の合成技術や、ナノ粒子の表面の糖鎖などの機能性物質を固定化する山内紀子准教授の技術は、ナノ材料のポテンシャルを大きく広げるものだ。
小林研究室の基盤技術は、コロイド化学を踏まえたナノ粒子の合成手法だ。溶液中で粒子が生まれる過程と成長過程を詳細に制御し、粒径のそろった粒子を得る。遠心分離や濾過など後処理を最小限に抑えられるため、簡便な装置でも高品質を保ちやすい。
開発対象は金属や酸化物などを核に、別の物質で殻を形成したコアシェル型ナノ粒子。ナノ粒子は一般的に表面エネルギーが高いため、放っておくと凝集しやすいことが利用上の難点となってきた。表面をシェルで覆って粒子同士を接触しにくくすれば、凝集を抑えることができる。さらにシェル表面に機能性物質を付与することで、薬剤を体内の微細なターゲットに確実に届けるドラッグデリバリーに貢献できる。
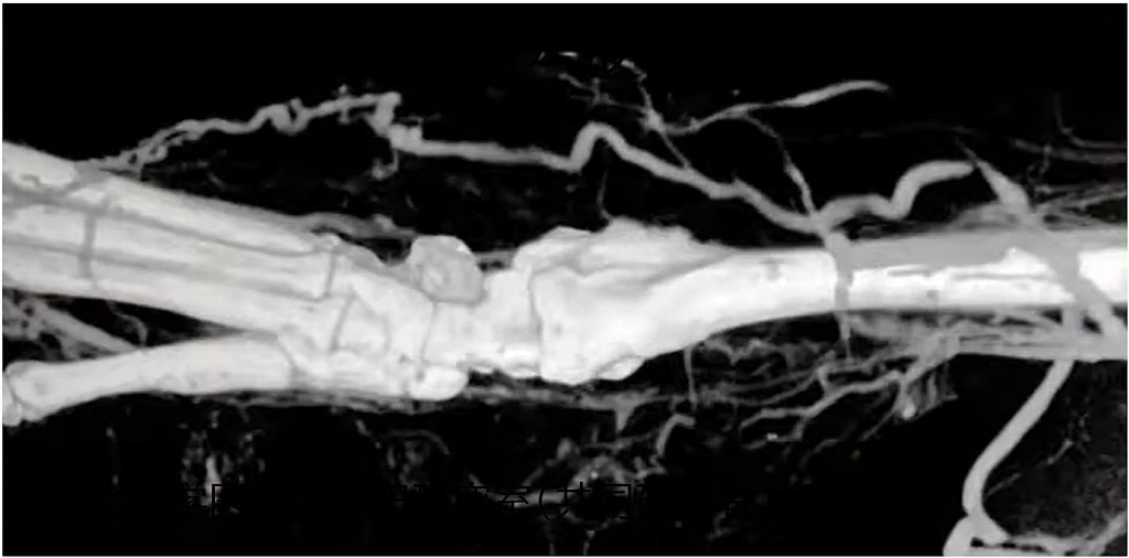
金ナノ粒子使用 X線造影剤技術 開発
-
金ナノ粒子を使った造影検査
特に期待されるのが、金ナノ粒子を使ったX線造影剤技術だ。従来のヨウ素系造影剤より微細な血管まで描写できるデータが得られる。がんや動脈硬化など血管障害の早期発見に寄与する可能性がある。医療向けとして他大学との共同研究を進める。また、植物生育を促す中空酸化チタン粒子、ウイルス検出用の糖鎖修飾粒子、抗菌・抗ウイルス性コーティング材料、重金属イオン吸着材など、農業・環境分野などの分野での社会実装も展望する。
また、山内研究室で進めているのは、ナノ粒子の表面に糖鎖などの機能性物質を固定化する研究だ。糖鎖はウイルス、細菌、毒性のあるたんぱく質などを選択的に捕捉できるし、さらに磁性をもった物質も固定化させれば、ウイルスなどを効率的に分離回収できる。ウイルス検査キットなどへの応用が考えられる。山内准教授は「実用化に向けて技術としての信頼性、再現性を高めたい」と語る。
「社会実装に向けてスケールアップが課題だ」と小林教授。大学の材料研究は数グラム規模の試作と物性評価が中心だった。量産のための技術・製造法の確立は学術的には評価されづらく、大学の研究者のモチベーションが高まらない。一方で企業側には、数十—数百グラム単位の材料を使って評価したいニーズがある。大学と企業の方向性の違いから、優れた材料が実用化に至らない例は少なくない。小林教授は「サイエンスはうまくいっているがテクノロジーがうまくいってない。機械工学・流体工学の知識を利用してその点を解決したい」と展望する。
鍵となるのが、ナノ粒子の作製法を最適化する、量産に向けた製造手順、いわば「レシピ」を整える取り組みだ。製造過程の多くは研究室の学生の実験ノートにしか残らないような暗黙知になってしまっている。それを企業が再現できる形にまで「翻訳」することが重要だ。
ナノ材料をめぐっては、国内でも大学発スタートアップの動きが広がっている。「コアシェル型ナノ粒子の研究蓄積の“暗黙知”と企業のニーズをつなぐ上でも、スタートアップ創業は有力な選択手段だ」と小林教授は強調する。
